我家橘貓「小橘」五歲那年,突然對最愛的乾飼料興致缺缺,吃東西時頭會歪一邊,偶爾還會輕輕顫抖。我以為是挑食或腸胃不適,直到帶去洗牙,獸醫用探針輕輕敲了牠的犬齒,小橘整個彈起來——我才知道,牠正在經歷一種名叫「牙齒吸收」的劇烈牙痛。而根據美國獸醫牙科學院的研究,超過60%的成年貓咪會受到這種疾病影響,機率高得嚇人,卻因為症狀隱晦,極容易被飼主忽略。
牙齒吸收不是蛀牙。貓咪不會因為吃糖而蛀牙,牠們的牙痛,往往是身體自己的免疫系統出了問題,開始把牙齒當成「外來物」攻擊、溶解、吸收。這個過程無聲無息,等到貓咪行為異常時,牙根可能已經被吸收了一大半,痛到不行。
寫這篇文章,是想用我和小橘走過的彎路,幫你避開我犯過的錯誤。你會知道怎麼從貓咪細微的舉動裡發現警訊,了解獸醫會怎麼診斷,面對必須拔牙的治療時該如何準備,以及最重要的——手術後該怎麼照顧,讓貓咪重新開心吃飯。
本文重點速覽
什麼是貓咪牙齒吸收?這不是蛀牙,是身體在「吃掉」自己的牙齒
很多人聽到貓咪牙痛,直覺想到蛀牙。但貓咪的牙齒結構和人類不同,幾乎不發生我們認知的那種蛀牙。貓咪牙齒吸收,學名是Feline Odontoclastic Resorptive Lesion (FORL)。
簡單說,就是貓咪牙齒的硬組織(琺瑯質、牙本質)被一種叫做「破牙細胞」的細胞逐漸溶解、吸收。你可以想像成房子的鋼筋水泥被自己人悄悄挖空。這個過程通常從牙根和牙冠交界處開始,慢慢往內侵蝕。根據病變位置,獸醫牙科會將其分為Type 1到Type 5等不同類型,這直接影響治療方式。
一個新手常犯的微妙錯誤: 很多飼主(包括之前的我)看到貓咪牙齦有點紅,就以為是輕微牙齦炎,買個漱口水或潔牙粉就想打發。但牙齒吸收早期的牙齦紅腫,是因為牙齒結構被破壞,導致牙齦組織發炎增生去填補缺口,這和單純的牙菌斑引起的牙齦炎是兩回事。忽略這個區別,只做表面清潔,會讓底下的牙齒持續被吸收,痛感加劇,最後可能整顆牙碎掉。
目前醫學界還不確定確切病因,但普遍認為與慢性牙齦發炎、免疫系統異常、鈣磷代謝失衡,甚至某些病毒的潛在影響有關。品種上似乎沒有特別偏好,中年到老年的貓咪發生率最高。
如何發現貓咪牙齒吸收?5個容易被誤解的隱形警訊
貓是忍痛高手,不會摀著臉跟你說牙痛。牠們的症狀非常隱性,需要你像偵探一樣觀察。
- 進食習慣改變: 這是最大警訊。突然只吃罐頭不吃乾糧,或吃乾糧時用吞的、不咀嚼。吃東西頭歪一邊,避開某一側牙齒咀嚼。吃到一半突然停下來,發出輕叫或甩頭。
- 口腔相關異常行為: 流口水變多(可能帶血絲)、口臭加劇(不是一般的飼料味,是腐敗的臭味)、用前腳頻繁抹臉或嘴巴。
- 觸摸反應激烈: 以前可以摸頭摸臉,現在一碰到嘴巴附近就閃躲、低吼甚至攻擊。幫牠刷牙時異常抗拒。
- 情緒與活動力變化: 因為持續疼痛,變得煩躁、躲藏、不愛理人。理毛次數減少,毛髮變得粗糙無光澤。
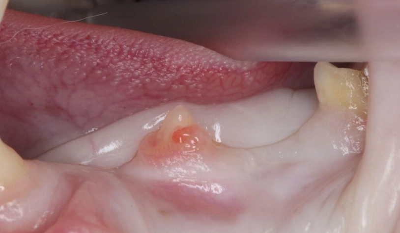
- 肉眼可見的跡象(晚期): 牙齒靠近牙齦的地方出現紅色小點(像牙齦長到牙齒上),或牙齒有缺損、斷裂。但很多吸收發生在牙齦下,外表完全正常。
小橘當時就是第一點和第三點最明顯。牠會把乾飼料叼到地上,用臼齒那側勉強磨兩下就吞下去,摸牠左臉時耳朵會快速抖動,這是疼痛的反射動作。
診斷流程大公開:為什麼「口腔檢查+X光」缺一不可?
如果你懷疑貓咪有牙齒吸收,帶去獸醫院,一個完整的診斷絕對不是獸醫看一眼就結束。正規流程應該是這樣:
- 鎮靜或麻醉下進行完整口腔檢查: 獸醫會用專業的牙科探針勾過每顆牙齒的表面和牙齦溝。如果探針勾到凹陷或孔洞,貓咪即使麻醉中,下顎肌肉也可能反射性抽動,這是診斷的重要依據。清醒狀態下的檢查非常有限,貓咪不會配合,也看不到牙齦下的情況。
- 全口牙科X光攝影: 這是診斷的黃金標準,也是最容易被省略、但最重要的一步。根據台灣大學獸醫專業學院出版的《小動物牙科手冊》中強調,高達50%的牙齒吸收病灶是隱藏在牙齦下方,肉眼根本看不見。X光可以清楚顯示牙根是否被吸收、吸收的型態(Type 1 或 Type 2)、以及牙周骨的狀況。這直接決定這顆牙是要治療還是必須拔除。
個人觀點: 如果你諮詢的獸醫說「看起來還好,先刷牙觀察看看」,卻不建議拍X光,我會建議你尋求第二意見,特別是找有牙科專長的獸醫院。我朋友的貓就是這樣被耽誤,最後一次要拔六顆牙,貓咪受苦,荷包也更傷。
| 診斷工具 | 主要目的 | 為什麼必要? |
|---|---|---|
| 牙科探針檢查 | 發現牙冠表面的缺損與敏感點 | 定位肉眼難見的早期表層病灶 |
| 全口牙科X光 | 評估牙根、牙周骨及隱藏病灶 | 超過一半問題藏在牙齦下,無X光無法確診與制定治療計畫 |
| 牙科記錄表 | 圖示記錄每顆牙齒狀況 | 追蹤病情變化,作為未來就醫參考 |
治療選擇:除了拔牙,還有其他可能嗎?
治療方式完全取決於X光下的分期與類型。
Type 1 吸收:通常建議拔牙
牙根結構還清楚可見,但牙冠已被嚴重破壞。這時牙齒就像被蛀空的大樹,留著只會持續發炎疼痛。治療方法是完整拔除,必須將牙根整個取出。這是獸醫牙科最常見的處理方式。
Type 2 吸收:可能有不同選擇
X光下牙根已經被吸收、變得模糊,與周圍骨頭融合。這時有兩種做法:
- 冠截除術: 將暴露在牙齦上方、已經病變的牙冠部分切除、磨平,留下已經與骨骼融合的牙根。這適用於牙根吸收嚴重、強行拔除可能造成額外傷害的病例。傷口會由牙齦覆蓋癒合。
- 監控: 如果病灶很小、貓咪沒有任何症狀,有些獸醫會建議定期追蹤X光,暫不處理。但我個人傾向較積極的治療,因為你不知道它什麼時候會開始痛。
無論哪種方式,目標都是一樣的:消除疼痛來源。貓咪沒有牙齒依然可以活得很好,用牙齦和舌頭就能順利吃濕食和軟化的乾糧。疼痛才是影響生活品質的元兇。
拔牙術後全攻略:如何幫助貓咪舒適恢復?
小橘拔了三顆牙。術後照顧比我想像的簡單,但有些細節要注意。
術後當天: 貓咪回家可能還暈暈的,把牠放在安靜、溫暖、不會摔落的地方(例如籠子或小房間)。準備好水、和醫生討論好的術後食物(通常是泥狀濕食)。
餵食技巧: 如果貓咪願意自己吃,最好。如果不吃,可以用針筒(去掉針頭)慢慢從嘴角側面餵食流質營養品或打碎的罐頭。千萬不要從正面強灌,容易嗆到。食物可以稍微回溫,增加香氣。
藥物管理: 醫生開的止痛藥和抗生素一定要按時吃完,這能有效控制疼痛和預防感染。餵藥也是學問,可以混在極少量的美味泥狀食物裡(如肉泥),或使用餵藥器。
觀察重點: 注意食慾、精神、有無過度流口水(帶血絲一兩天正常)或臉部腫脹。通常2-3天後食慾和精神就會明顯恢復。一週後回診拆線(如果使用可吸收線則不用)。
我最驚訝的是,小橘拔牙後第二天,雖然傷口還痛,但牠整體的精神似乎比手術前還好——因為那個長期潛伏的劇痛源頭終於被移除了。
預防與日常保健:能做什麼降低風險?
雖然無法保證完全預防,但做好口腔保健絕對能降低整體牙科疾病的發生率,並早期發現問題。
- 飲食選擇: 沒有單一神奇飲食。可以諮詢獸醫,搭配一些有助於口腔健康的處方飼料(透過特殊的纖維結構摩擦牙齒)。但最重要的原則是,不要讓貓咪長期只吃軟食,適度的咀嚼刺激對牙周健康有益。濕食和乾糧可以搭配。
- 刷牙: 這是黃金標準。使用貓用牙刷和牙膏(千萬不要用人用的),從小習慣,即使每週只成功刷幾次也比不刷好。重點是牙齦和牙齒交界處。如果貓咪極度抗拒,可以改用手指套或口腔潔淨紗布。
- 定期專業檢查: 每年帶貓咪做健康檢查時,請獸醫仔細看看牙齒。對於中年以上或有牙科病史的貓,可以跟獸醫討論定期(例如每1-2年)進行麻醉洗牙並拍攝X光的必要性,這是最有效的早期篩檢。
我現在每天幫小橘刷牙,牠從暴怒到勉強接受,花了三個月。雖然麻煩,但想到牠不用再經歷一次那種隱形牙痛,一切都值得。
飼主常見疑問深度解答
目前沒有證據顯示貓咪牙齒吸收是傳染性疾病。它被認為是一種與個體免疫反應相關的病變。不過,牙科疾病常有的共同風險因子(如牙菌斑堆積)在共同生活的貓群中可能環境類似,所以家裡多隻貓可能「同時」但非「互相傳染」出現問題。重點還是每隻貓的口腔保健都要做好。
這是飼主最兩難的問題。我的獸醫當時給了一個很好的觀點:要衡量的是「持續牙痛的風險」與「麻醉的風險」哪個更高。現代獸醫麻醉會進行完善的術前檢查(血檢、心超等),使用專為高齡動物設計的短效麻醉藥物,並全程監控生命徵象,安全性已大幅提高。而持續的牙痛會導致貓咪慢性壓力、營養不良、免疫力下降,甚至引發腎臟、心臟等其他器官問題。與獸醫充分討論,為貓咪制定個體化的麻醉計畫,通常比放任疼痛不處理更為安全。
完全不用擔心貓咪會餓死。貓咪的進食主要靠舌頭將食物捲入口中,然後吞嚥。即使沒有牙齒,牠們的牙齦和顎骨依然堅韌,可以壓碎軟化的食物。術後初期給予肉泥、慕斯罐頭或泡軟的處方飼料。恢復後,可以繼續吃濕食,或選擇小顆、易碎的乾糧(許多無牙貓直接用牙齦壓碎小顆乾糧)。很多全口拔牙的貓咪體重反而增加,因為終於能無痛地享受吃飯了。重點是提供營養充足、貓咪喜歡的質地食物。